La citología corneo conjuntival es una técnica sencilla, fácil de realizar e interpretar. No soluciona del todo el problema del diagnóstico, pero para el clínico que la realiza rutinariamente establecerá rápidamente criterios de comparación y conducirá a la utilización de técnicas complementarias que permitan precisar cuál es el tratamiento más adecuado. Asimismo tiene gran validez como método de control de tratamientos establecidos. Todo ello nos hace que consideremos conveniente la utilización de esta técnica en la práctica clínica rutinaria.

Toma de muestra con hisopo en felino
En la queratoconjuntivitis seca se observan abundantes neutrófilos, siendo frecuente la presencia de bacterias. Además, se caracteriza por un incremento de células paraqueratosicas y queratinizadas. En fases iniciales se produce un aumento de células caliciformes, que van disminuyendo con el tiempo. Es frecuente apreciar numerosos macrófagos y células epiteliales.

Queratoconjuntivitis seca en canino Citologìa de queratoconjuntivitis seca en canino
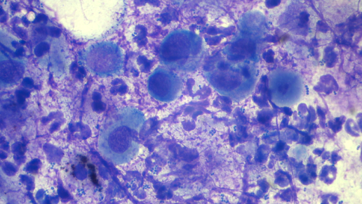
La queratitis eosinofílica felina es una enfermedad de carácter inflamatorio que afecta de forma primaria a la córnea, aunque también se ha descrito infiltración conjuntival en ausencia de afección corneal. La afección conjuntival cursa con inflamación, despigmentación y erosión del borde palpebral e inflamación y enrojecimiento de la mucosa conjuntival. También está presente un exudado mucoso o mucopurulento. En las citologías se pueden apreciar numerosos eosinófilos y gránulos eosinofílicos dispersos por la extensión. Tambien pueden observarse mastocitos que, en algunas ocaciones, son las celulas predominantes.
.jpg)
Queratitis eosinofilica en felino Citología de queratitis eosinofilica enfelino